Blog Ortodoncia Málaga
Beneficios del blanqueamiento dental tras la Ortodoncia Málaga.
Es frecuente que a lo largo de su vida, las [...]
Ortodoncia Málaga Manuel Román: ¿por qué trabajar con Spark?
En el último congreso de la SEDA, el Doctor Manuel [...]
Ortodoncia Invisible Málaga: tan efectiva como la Ortodoncia Tradicional.
La Ortodoncia Invisible es tan efectiva como la Ortodoncia Tradicional con brackets metálicos, pero mucho más cómoda y sencilla.
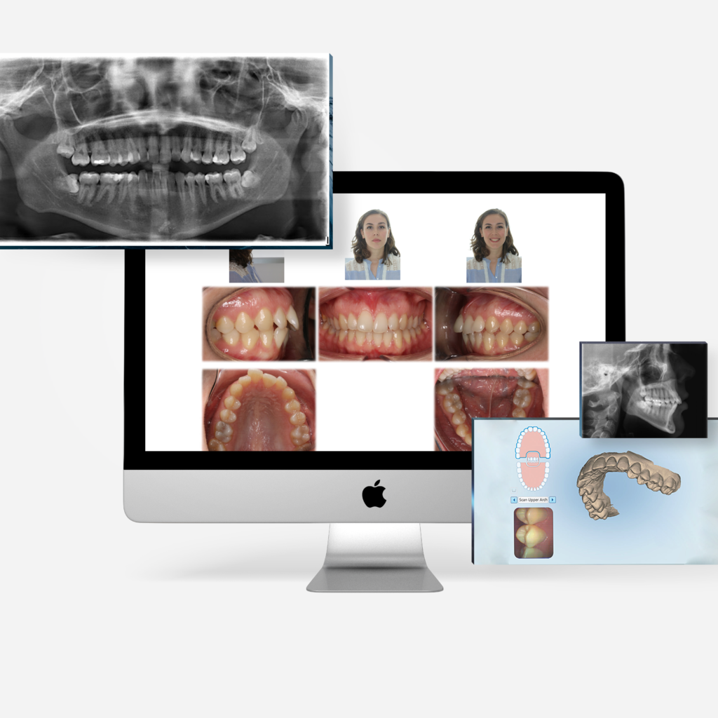
Proceso completo de Ortodoncia Invisible Málaga con el Doctor Manuel Román y la Doctora Clara Rodríguez.
Cuando decides realizar tu tratamiento de ortodoncia en Málaga, la [...]
Ortodoncia Invisible y Bioestética dental
De la mano de los avances en ortodoncia, ha ido tomando paso la denominada bioestética dental. El objetivo principal de la misma es conseguir una mejora de la estética de la sonrisa, eliminando riesgos y evitando que el diente se vuelva frágil.
Doctor Manuel Román, el más joven Miembro Diplomado de la Sociedad Española de Ortodoncia (SEDO) y Spanish Board of Orthodontics (SBO).
Tras años como miembro y miembro activo de la SEdO, el pasado junio, el Dr. Manuel Román ha obtenido la distinción de Miembro Diplomado de la Sociedad Española de Ortodoncia y el Spanish Board of Orhodontics (SBO).
Ortodoncia en niños, ¿a partir de qué edad es aconsejable comenzar la revisiones?
El cuidado de los dientes de los niños es una [...]
Escáner intraoral, resultados anticipados del tratamiento de Ortodoncia.
El escáner intraoral y su uso estético. Predicción en la primera visita de los resultados finales. Los pacientes sabrán desde el primer momento cómo lucirá su sonrisa tras el tratamiento de Ortodoncia Invisible, y gracias al diseño digital.











